HOME中枢神経・マクロ&ミクロ > ミクロ(正常像)

細胞の見え方

大脳皮質
大脳白質
基底核
中脳
延髄
小脳
脊髄
交感神経節

脊髄/脊髄小脳路

HE染色

  • <

    脊髄小脳路は大径線維で構成されている。好酸性の粒として認識できる(○)。

KB染色

  • 軸索を取り囲む髄鞘のリング状構造を認める(○)。標本作成中に髄鞘は破壊されやすく、大きく膨化してしまうものがおおい(矢印)。

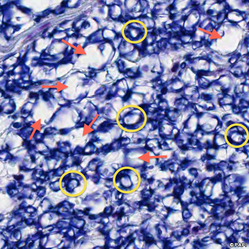
Bodian染色

  • 軸索(大径線維)を○で囲んでいる。軸索の周りが白く抜けている部分(矢印)は、髄鞘が存在する部分である)(Bodian染色では染まらない)。